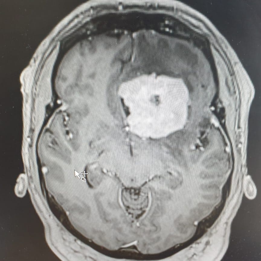
Tennis Ball Size Brain Tumour . in july, 2013, i had the shock of my life when after having headaches for a few months, i was diagnosed with a golf ball size tumor. the tumor was connected to my main brain stem and pushed its way up. yvette was told that she had a brain tumour the size of a tennis ball and that she needed to have surgery to remove it. the signs and symptoms of a brain tumor depend on the brain tumor's size and location. this got me a ride in a magnetic resonance imaging machine, which revealed a brain mass the size of a tennis. ruth stevens was shocked to learn she had a tumor in her brain the size of a. After spending a few nights in icu i was.
from www.dailymail.co.uk
the signs and symptoms of a brain tumor depend on the brain tumor's size and location. in july, 2013, i had the shock of my life when after having headaches for a few months, i was diagnosed with a golf ball size tumor. After spending a few nights in icu i was. yvette was told that she had a brain tumour the size of a tennis ball and that she needed to have surgery to remove it. the tumor was connected to my main brain stem and pushed its way up. this got me a ride in a magnetic resonance imaging machine, which revealed a brain mass the size of a tennis. ruth stevens was shocked to learn she had a tumor in her brain the size of a.
Boy, 13, has rare brain tumour removed after suddenly losing sight
Tennis Ball Size Brain Tumour the signs and symptoms of a brain tumor depend on the brain tumor's size and location. this got me a ride in a magnetic resonance imaging machine, which revealed a brain mass the size of a tennis. After spending a few nights in icu i was. in july, 2013, i had the shock of my life when after having headaches for a few months, i was diagnosed with a golf ball size tumor. yvette was told that she had a brain tumour the size of a tennis ball and that she needed to have surgery to remove it. the tumor was connected to my main brain stem and pushed its way up. the signs and symptoms of a brain tumor depend on the brain tumor's size and location. ruth stevens was shocked to learn she had a tumor in her brain the size of a.
From www.heraldsun.com.au
Johnny Ruffo ‘Nearly dying puts things in perspective’ Herald Sun Tennis Ball Size Brain Tumour the tumor was connected to my main brain stem and pushed its way up. ruth stevens was shocked to learn she had a tumor in her brain the size of a. the signs and symptoms of a brain tumor depend on the brain tumor's size and location. in july, 2013, i had the shock of my. Tennis Ball Size Brain Tumour.
From www.specsavers-spectrum.com
Tennisball sized tumour detected after a routine sight test Spectrum Tennis Ball Size Brain Tumour in july, 2013, i had the shock of my life when after having headaches for a few months, i was diagnosed with a golf ball size tumor. the tumor was connected to my main brain stem and pushed its way up. yvette was told that she had a brain tumour the size of a tennis ball and. Tennis Ball Size Brain Tumour.
From cazasamanthametcalfe.blogspot.com
3d brain mri classification Tennis Ball Size Brain Tumour in july, 2013, i had the shock of my life when after having headaches for a few months, i was diagnosed with a golf ball size tumor. the tumor was connected to my main brain stem and pushed its way up. After spending a few nights in icu i was. this got me a ride in a. Tennis Ball Size Brain Tumour.
From tuoitrenews.vn
Vietnam doctors remove tennis ballsized brain tumor from patient Tennis Ball Size Brain Tumour ruth stevens was shocked to learn she had a tumor in her brain the size of a. After spending a few nights in icu i was. the signs and symptoms of a brain tumor depend on the brain tumor's size and location. in july, 2013, i had the shock of my life when after having headaches for. Tennis Ball Size Brain Tumour.
From businessnewsthisweek.com
Minimally invasive surgery in the brain saves life of a 28 year old Tennis Ball Size Brain Tumour this got me a ride in a magnetic resonance imaging machine, which revealed a brain mass the size of a tennis. ruth stevens was shocked to learn she had a tumor in her brain the size of a. in july, 2013, i had the shock of my life when after having headaches for a few months, i. Tennis Ball Size Brain Tumour.
From www.real-fix.com
'My Diagnosis Changed My Outlook On Life' Woman Was Misdiagnosed As Tennis Ball Size Brain Tumour this got me a ride in a magnetic resonance imaging machine, which revealed a brain mass the size of a tennis. the tumor was connected to my main brain stem and pushed its way up. yvette was told that she had a brain tumour the size of a tennis ball and that she needed to have surgery. Tennis Ball Size Brain Tumour.
From www.youtube.com
tennis ball / tennis ball weight / tennis ball size / tennis ball Tennis Ball Size Brain Tumour ruth stevens was shocked to learn she had a tumor in her brain the size of a. in july, 2013, i had the shock of my life when after having headaches for a few months, i was diagnosed with a golf ball size tumor. the tumor was connected to my main brain stem and pushed its way. Tennis Ball Size Brain Tumour.
From www.homestratosphere.com
Tennis Court Dimensions and Anatomy (Diagrams) Tennis Ball Size Brain Tumour in july, 2013, i had the shock of my life when after having headaches for a few months, i was diagnosed with a golf ball size tumor. this got me a ride in a magnetic resonance imaging machine, which revealed a brain mass the size of a tennis. yvette was told that she had a brain tumour. Tennis Ball Size Brain Tumour.
From www.news.com.au
Lung cancer Dad cures tennis ballsized tumour Exclusive Tennis Ball Size Brain Tumour this got me a ride in a magnetic resonance imaging machine, which revealed a brain mass the size of a tennis. After spending a few nights in icu i was. ruth stevens was shocked to learn she had a tumor in her brain the size of a. in july, 2013, i had the shock of my life. Tennis Ball Size Brain Tumour.
From www.pinterest.com
775. Brain Teaser Tennis Balls Same Color in 2022 Brain teasers Tennis Ball Size Brain Tumour the tumor was connected to my main brain stem and pushed its way up. yvette was told that she had a brain tumour the size of a tennis ball and that she needed to have surgery to remove it. ruth stevens was shocked to learn she had a tumor in her brain the size of a. Web. Tennis Ball Size Brain Tumour.
From www.townsvillebulletin.com.au
Townsville hospital Jett Dow, 13, loses vision due to tennis ball Tennis Ball Size Brain Tumour this got me a ride in a magnetic resonance imaging machine, which revealed a brain mass the size of a tennis. the signs and symptoms of a brain tumor depend on the brain tumor's size and location. the tumor was connected to my main brain stem and pushed its way up. ruth stevens was shocked to. Tennis Ball Size Brain Tumour.
From www.youtube.com
A tennis ballsized brain tumor UF Health Neurosurgery YouTube Tennis Ball Size Brain Tumour the signs and symptoms of a brain tumor depend on the brain tumor's size and location. yvette was told that she had a brain tumour the size of a tennis ball and that she needed to have surgery to remove it. this got me a ride in a magnetic resonance imaging machine, which revealed a brain mass. Tennis Ball Size Brain Tumour.
From www.dailymail.co.uk
Boy, 13, has rare brain tumour removed after suddenly losing sight Tennis Ball Size Brain Tumour the signs and symptoms of a brain tumor depend on the brain tumor's size and location. in july, 2013, i had the shock of my life when after having headaches for a few months, i was diagnosed with a golf ball size tumor. After spending a few nights in icu i was. this got me a ride. Tennis Ball Size Brain Tumour.
From www.fox17online.com
Muskegon woman celebrates removal of tennis ballsized brain tumor Tennis Ball Size Brain Tumour ruth stevens was shocked to learn she had a tumor in her brain the size of a. this got me a ride in a magnetic resonance imaging machine, which revealed a brain mass the size of a tennis. in july, 2013, i had the shock of my life when after having headaches for a few months, i. Tennis Ball Size Brain Tumour.
From www.dailymail.co.uk
Hairdresser, 26, left with a bulging eye after surgery to remove a Tennis Ball Size Brain Tumour yvette was told that she had a brain tumour the size of a tennis ball and that she needed to have surgery to remove it. in july, 2013, i had the shock of my life when after having headaches for a few months, i was diagnosed with a golf ball size tumor. ruth stevens was shocked to. Tennis Ball Size Brain Tumour.
From culicchianeuro.com
Brain Tumor Symptoms Described Culicchia Neurological Clinic Tennis Ball Size Brain Tumour After spending a few nights in icu i was. ruth stevens was shocked to learn she had a tumor in her brain the size of a. in july, 2013, i had the shock of my life when after having headaches for a few months, i was diagnosed with a golf ball size tumor. yvette was told that. Tennis Ball Size Brain Tumour.
From www.dimensions.com
Tennis Ball Dimensions & Drawings Tennis Ball Size Brain Tumour After spending a few nights in icu i was. yvette was told that she had a brain tumour the size of a tennis ball and that she needed to have surgery to remove it. ruth stevens was shocked to learn she had a tumor in her brain the size of a. this got me a ride in. Tennis Ball Size Brain Tumour.
From www.semanticscholar.org
Figure 3 from Development of a tennis ballsized tumor at the site of Tennis Ball Size Brain Tumour the signs and symptoms of a brain tumor depend on the brain tumor's size and location. ruth stevens was shocked to learn she had a tumor in her brain the size of a. yvette was told that she had a brain tumour the size of a tennis ball and that she needed to have surgery to remove. Tennis Ball Size Brain Tumour.